Гоа’улды найдены в медных ящиках, созданных в период c 700 лет до н.э.

Автор: Серж Маршалл

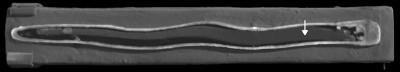
В Британском музее в Лондоне хранится коллекция небольших запечатанных гробов с египетскими "богами". Они были созданы в период с 664 г. до н.э. по 300 г. до н.э. и  обнаружены в древних городах Наукратис и Телль-эль-Йехудия. Ученые визуализировали содержимое шести запечатанных гробов для животных с помощью нейтронной и рентгеновской томографии. (Вскрывать ящики ученые почему-то не решаются). 

На снимках отчетливо видны т.н. "угри" и "ящерицы". Две коробки увенчаны сверху фигурой наполовину угря, наполовину кобры с человеческой головой. В коробках также находятся венки, свинец и льняные ткани.
Мумификация животных была широко распространена в Древнем Египте. Некоторые останки считались физическими воплощениями божеств. Ведь солнечный бог-творец Атум изображался в антропоморфной форме, как существо с головой  человека, наполовину угря, наполовину кобры, носящее двойную корону.

Подобные похоронные коробки с существами внутри помещали в храмы для проведения ритуалов, подвешивая их на петлях.


Фараон Тутанхамон, к примеру, носил такого угря-"бога", который, возможно, помогал ему советами. Сам носитель существа был весьма болезненным малым и внешность имел "не особо интеллектуальную".***
Гоа’улды (произносятся также как гуаулды, англ. Goa'uld) — вымышленный паразитическийинопланетный вид, известный по научно-фантастическомутелесериалу «Звёздные врата: SG-1». В следующих сериях раса представлена как ведущая паразитический образ жизни и доминирующая в галактике Млечный Путь.
Внешний вид гоа’улдов напоминает змею,  однако эти существа интеллектуально высокоорганизованны и способны  проникать в тела других разумных существ или крупных животных, получая  контроль над захваченным организмом. Люди считаются видом, лучше всего подходящим в качестве хозяина (носителя) гоа’улда.
                                                              Рисунок угревидного гоаулда из телесериала.

(Использованы материалы nature.com и интернет)

+45
941

0 комментариев, по

825 107 389
Мероприятия

Список действующих конкурсов, марафонов и игр, организованных пользователями Author.Today.

Хотите добавить сюда ещё одну ссылку? Напишите об этом администрации.

Наверх Вниз